Koronavirüsün hücreye saldırı anı böyle görüntülendi
Yayınlanma:
Güncelleme:
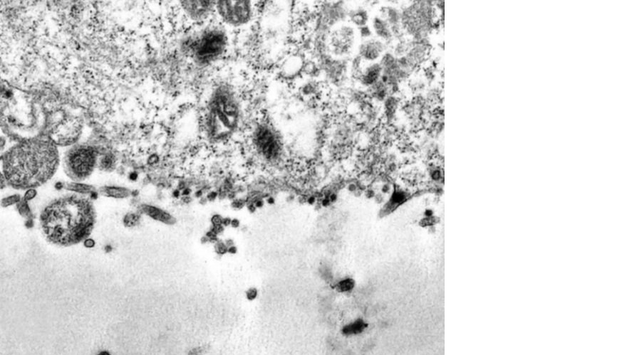
Bilim adamları tarafından elektron mikroskobuyla gerçekleştirilen bir çalışmada korona virüsün hücreyi enfekte etmeye çalıştığı an görüntülendi.
Korona virüsün insan hücrelerindeki yayılışı bilim adamları tarafından elektron mikroskobuyla kaydedildi.
Brezilyalı bilim insanları tarafından yapılan çalışmada koronavirüsün insan hücrelerinde oluşturduğu tahribat tüm yönleriyle açığa çıkarıldı.
Elde edilen görüntüde, kovid-19 virüsünün parçacıkları olan siyah noktalar, genetikten sorumlu olan bir sitoplazmayı enfekte etmeye çalışıyor.
Korona virüsün bir hücreye bulaştığı an:

'Korona' Latince taç veya hale anlamına gelmekte ve virüs partiküllerine adını veren dış kenarındaki sivri uçları açıkça görülüyor.
Resmi İlanlar
Gündem





Türkçe karakter kullanılmayan ve büyük harflerle yazılmış yorumlar onaylanmamaktadır.